Во Владимирской области подростку с гигантизмом успешно выполнили операцию на стопе
Во Владимирской области подростку с гигантизмом успешно выполнили операцию
© Областной центр спецмедпомощи
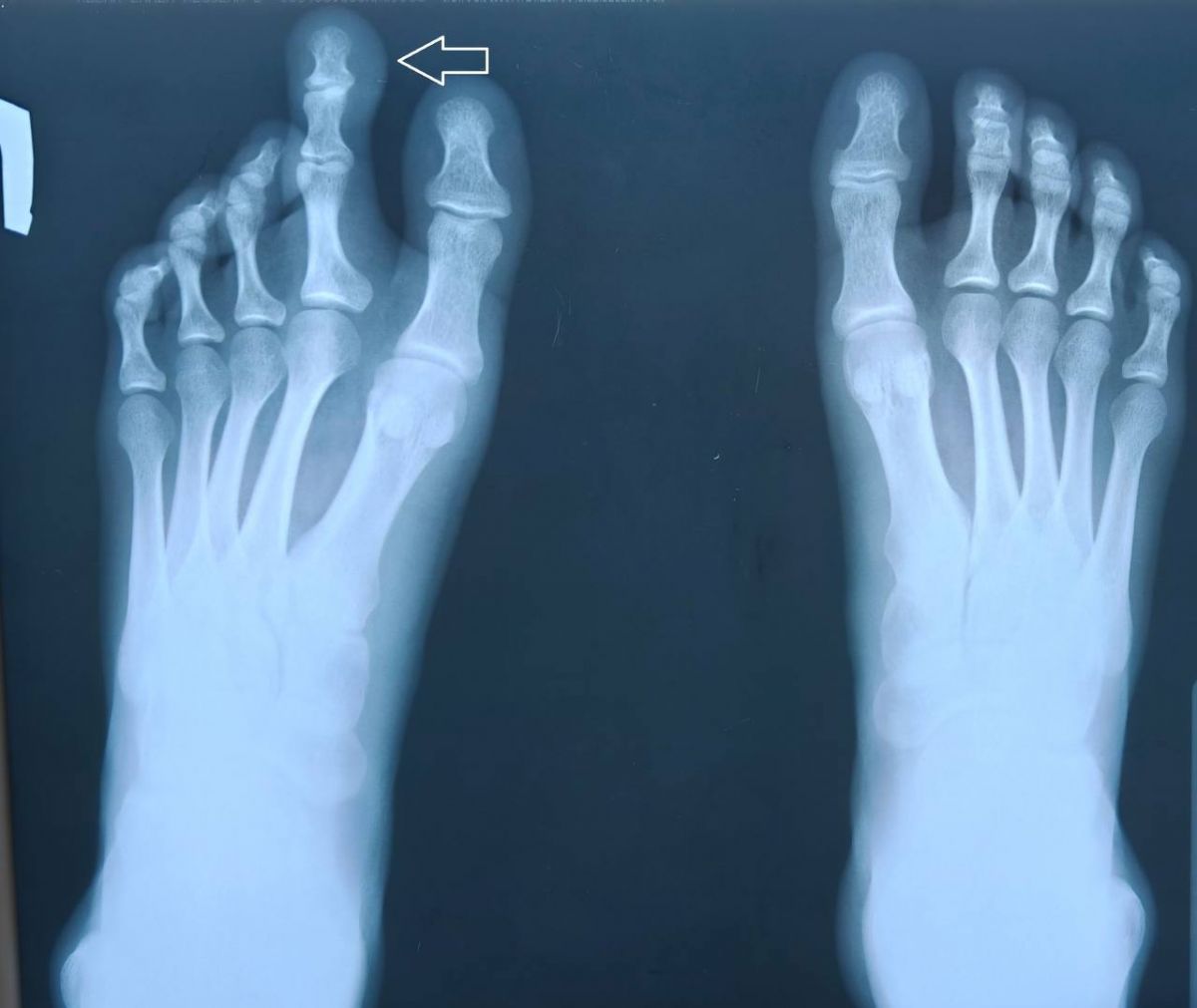
В Областном центре спецмедпомощи Пиганово рассказали о проведённой операции пациентке с парциальным гигантизмом — редкой врождённой аномалией, при которой чрезмерно увеличиваются отдельные части тела, чаще всего пальцы рук или ног.
На консультацию к специалистам центра обратилась 17-летняя девушка с сильно увеличенным вторым пальцем левой стопы. Она жаловалась на выраженный косметический дефект и сложности при подборе обуви. Травматолог-ортопед принял решение о проведении операции для коррекции аномалии.
Операцию выполнили врачи отделения травматологии и ортопедии №1 — Г. М. Чочиев и А. М. Рубцов, при участии операционной сестры А. Е. За харовой. Обезболивание обеспечивали врач-анестезиолог А. Г. Егоров и сестра-анестезист М. Г. Щаренкова. Во время операции провели реконструкцию второго пальца стопы: укорачивающую остеотомию с фиксацией костных фрагментов спицей и удалили избыточные мягкие ткани.
В результате был сформирован функционально и косметически полноценный палец. Пациентка поблагодарила команду специалистов.
![fileprobel1.[4]](https://region.center/source/Vladimir_2022/2025/12/11/fileprobel1.%5B4%5D.jpg)
(Фото: Областной центр спецмедпомощи)